05 Dic 2025

Viaje al interior de una neurona reloj: logran ver cambios sorprendentes a lo largo del día en las células que regulan ritmos biológicos

Como resultado de una colaboración internacional, el grupo que lidera nuestra jefa del Laboratorio de Genética del Comportamiento, Fernanda Ceriani, utilizó una tecnología no disponible en Argentina para analizar en diferentes momentos del día lo que ocurre dentro de un grupo de neuronas “reloj” de la mosca Drosophila melanogaster. El hallazgo que más los sorprendió fue observar los notables cambios que experimentan las fábricas de la energía celular, las mitocondrias, entre la mañana y la noche.

Fernanda Ceriani (centro) junto a Micaela Rodríguez-Caron, Christian Carpio Romero, Francisco Tassara y Julián Gargiulo, también autores del artículo publicado en Current Biology.

Un consorcio internacional integrado por dos grupos científicos de Estados Unidos, uno de Inglaterra y el que lidera en Argentina Fernanda Ceriani, nuestra jefa del Laboratorio de Genética del Comportamiento, logró observar sorprendentes cambios estructurales y de funcionamiento que ocurren en el interior de ciertas neuronas que regulan el reloj biológico. El hallazgo, publicado en la revista Current Biology, fue realizado en la mosca Drosophila melanogaster, uno de los modelos más usados en investigación por compartir mecanismos biológicos con los seres humanos.

La visualización fue posible gracias al uso de microscopía electrónica volumétrica, una tecnología que no está accesible en el país y que permitió observar, por primera vez, cómo se modifican a medida que avanza el día la forma, la cantidad y el volumen de las mitocondrias, estructuras que producen la energía que necesitan las células para cumplir sus funciones.

“A la mañana, las mitocondrias son pequeñas, redondas y vigorosas, pero hacia la noche se vuelven alargadas y se fusionan. Esto sugiere que se tienen que reciclar, rejuvenecer en su funcionalidad. Tal vez sea por esto, justamente, porqué es importante el dormir: durante la noche es cuando se reconstituyen las mitocondrias que necesitaremos al despertar”, explica Ceriani.

La investigadora añade: “Esto nos habla de cómo va cambiando el estado fisiológico de las células y es algo que nadie había visto hasta ahora. Somos los primeros en observarlo a este nivel, adentro de neuronas reloj”.

Juan Ignacio Ispizua, otro de los autores del artículo, hoy continúa su formación en los Estados Unidos.

El reloj biológico es un mecanismo interno que impone ciclos de 24 horas o “ritmos circadianos” para que funciones básicas de los seres vivos como la liberación de hormonas, el metabolismo o los patrones de sueño, ocurran en el momento óptimo. Existe un reloj o “marcapasos” central, que reside en el hipotálamo del cerebro y se pone en hora a diario en respuesta a claves del ambiente, principalmente los ciclos de luz y oscuridad; y varios relojes periféricos, que se ubican en diferentes tejidos del organismo. Un mal funcionamiento de todo este engranaje puede generar desde una disminución de las defensas e insomnio hasta depresión, diabetes y menor rendimiento cognitivo.

En 2008, Ceriani y su grupo descubrieron que las neuronas que son parte del sistema circadiano de la mosca adulta cambiaban de forma a lo largo del día, algo que revolucionó esa área de investigación. Desde entonces, su foco fue comprender mejor los procesos involucrados. En ese camino, el año pasado, junto al equipo liderado por el cronobiólogo argentino Horacio de la Iglesia, de la Universidad de Washington, en Seattle, Estados Unidos, comprobaron que esa transformación diaria ocurre también en ratones, lo que hace suponer que se repite en otros mamíferos, incluido el ser humano.

Mirada profunda

El nuevo artículo liderado por Ceriani –y del que son coautores los becarios del CONICET Juan Ignacio Ispizua, Micaela Rodríguez-Caron, Francisco Tassara y Christian Carpio–, es el resultado de una alianza con los grupos de De la Iglesia y de Mark Ellisman, un físico experto en imágenes e inventor de técnicas de microscopía del departamento de Neurociencias de la Universidad de California, en San Diego (UCSD), Estados Unidos. Ese consorcio permitió acceder a financiamiento y tecnología que no está disponible en Argentina.

“La microscopía de florescencia, que era la que veníamos usando, tiene un límite de resolución. En este caso pudimos disponer de un microscopio electrónico de barrido, que es especial porque Ellisman le agregó la posibilidad de hacer cortes del tejido e ir sacando fotos. Eso nos permitió mirar la ultraestructura, es decir, detalles del interior de la célula”, describe Rodríguez-Caron. 

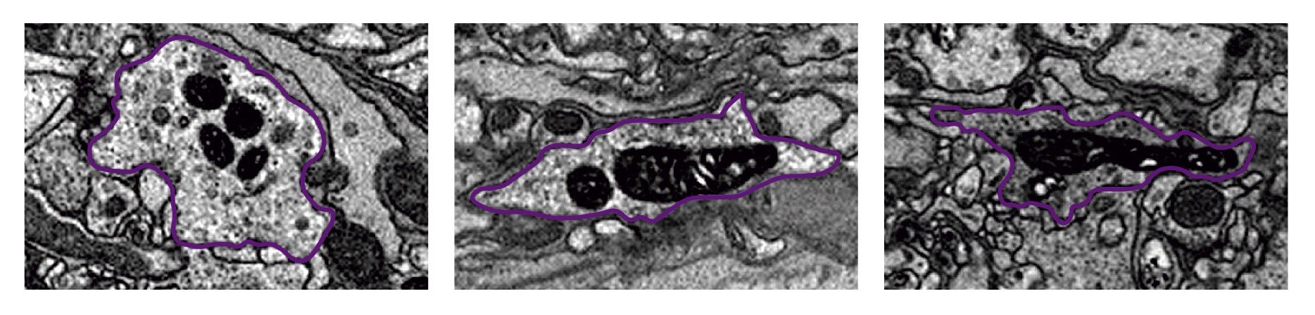
Imágenes de microscopía electrónica de una neurona “reloj” de Drosophila, tomadas a la mañana, a la noche y antes del amanecer (de izq a der). En negro oscuro se pueden ver las mitocondrias y cómo cambia la cantidad y su forma a medida que avanza el día.

Fue un viaje emocionante al reino de lo diminuto. “Pudimos ver que, según el momento del día, no sólo se transforman la estructura y la función de las mitocondrias, sino que también se modifican la cantidad de conexiones o sinapsis entre las distintas neuronas, y la cantidad y probabilidad de que vesículas cargadas con neuropéptidos se fusionen a la membrana para ser liberados. Eso nos permitió vincular esa plasticidad estructural con los cambios en la capacidad de las neuronas de influir, diferencialmente, a la red que integran a lo largo del día”, resume por su parte Ispizua, otro de los coautores del artículo.

A partir de esta comprobación de la existencia de cambios circadianos en el interior de las neuronas reloj, se abrió una nueva línea de investigación en el grupo que lidera la científica en la Fundación Instituto Leloir.

“Como pudimos mirar con mucha resolución dentro de los procesos de estas neuronas, comprobamos que están realmente mucho más comunicadas al principio del día que a la noche. Cuando uno entiende que este proceso está ocurriendo, de alguna manera puede comprender el porqué de la importancia de respetar los ciclos de sueño y vigilia”, reflexiona Ceriani.